In addition to many insurances we also offer flexible no interest monthly payments through Care Credit, Lending Club, Sunbit and Cherry. Call us today to see how we can serve you.

Preventative care is the key to a healthy smile. Regular checkups allow us to treat issues before they become a problem. Sometimes, cosmetic dentistry is the best course of action in these cases. But whether it's elective or for treatment, we'll make sure your smile is healthy and beautiful!

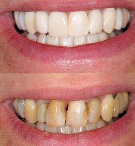
All teeth are different and accidents happen. Whether your teeth are crooked, chipped, damaged or if you've had mouth trauma, our team of dentist are sure to find a solution to get you smiling again.

Composite fillings – also known as tooth-colored fillings – are dental restorations designed to be inconspicuous and natural in appearance. They blend well with the teeth and appear more natural than amalgam fillings, which are darker and more easily seen by other people. Composite fillings are made of ceramic and plastic compounds that chemically bond to the teeth. They can be used to fill in decayed areas of the teeth, as well as to help repair chipped or broken teeth.

Dental crowns and bridges. Crowns and bridges are a fixed solution to missing or damaged teeth. This restorative procedure uses prosthetic devices to return your smile to its natural state. A crown is used when the tooth structure is damaged or fractured. A bridge is used when one or more teeth are missing.

If you have missing teeth it is crucial you replace them for a variety of reasons including aesthetics and function. We provide dental implant treatments to restore a single tooth or to help anchor dentures. This allows you to restore a more natural smile.

Dentures are removable and replace missing teeth. They restore your smile, your ability to chew and your ability to speak well. Whether you are missing several teeth or all of your teeth, these appliances may be right for you.

Invisalign is an orthodontic treatment that straightens teeth without the use of metal braces. Invisalign is a series of custom-made clear braces that cover your teeth and gently pull them into the proper position over time. Because they are clear and can be taken on and off, they are less noticeable than traditional metal braces.
Most people want to improve their smile but think that traditional, metal braces are the only option. With Invisalign clear braces there are no metal brackets or wire to detract from your smile while undergoing treatment. With Invisalign clear braces, your teeth can be comfortable, beautiful, and precisely aligned in half of the time it would require with traditional braces. Whether you are a parent exploring orthodontic treatment for your teenager, or an adult who has put off treatment for years, Invisalign is an effective and discreet solution.
Snap-On Smile is an affordable, non-invasive and completely reversible, cosmetic removable arch that can easily and painlessly give you a beautiful smile. It was invented by a dentist who realized that not everyone can afford thousands of dollars to get a Hollywood smile make-over. After years of extensive research and development, your dentist can now provide you with a Snap-On Smile that is thin and strong with the look of natural teeth. You can eat and drink with your Snap-On Smile. It’s easy to care for and can be a temporary or permanent cosmetic solution. It’s available for upper and lower teeth.

Do you want a whiter, brighter smile? 170th Dental now offers the most advanced teeth whitening system on the market – Kor Whitening. With Kor, your dentist can whiten teeth that previously were not a candidate for whitening therapy. For example, people with tetracycline staining often end up with crowns on their teeth to “cover up” the staining because whitening is ineffective. With the Kor system, whitening has been effective for many tetracycline patients, which eliminates the need for costly and invasive restorative treatment.

We now offer soft tissue laser treatment. This type of laser is primarily used on gums and oral mucosa of the mouth and cheek. This laser eliminates the need for a scalpel or stitches and promotes faster healing. It is highly effective and often painless, requiring no or minimal local anesthesia. Some common uses for soft tissue lasers include:

170th Dental is proud to offer this cutting edge 3D technology .This is a highly advanced intra-oral scanner that is able to create a remarkably accurate 3D model of the inside of your mouth by taking and compiling thousands of pictures. The resulting model allows us to perform an extremely thorough assessment of your mouth, teeth, and gums and offer up a highly accurate treatment plan.
We use cookies to analyze website traffic and optimize your website experience. By accepting our use of cookies, your data will be aggregated with all other user data.